Sunumlar

Kemik İliği Görüntüleme

İnflamatuar Barsak Hastalıkları

BT Anjio Tekniği

Karaciğer Perkütan Girişimler

Torasik Çıkış Sendromu

İntestinal Obstruksiyonlar

Demiyilinizan Hastalıklar

Postoperatif Kranium Görüntülemesi

İnguinal ve Femoral Kanal Hernileri

Karaciğer Segmentasyonu

Karaciğer Segmentasyon by hozermd on Sketchfab

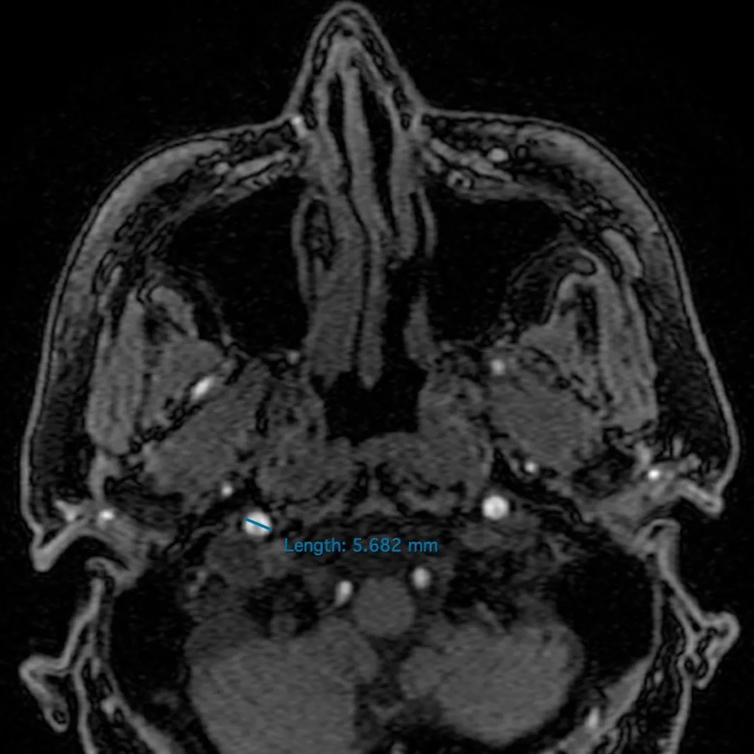
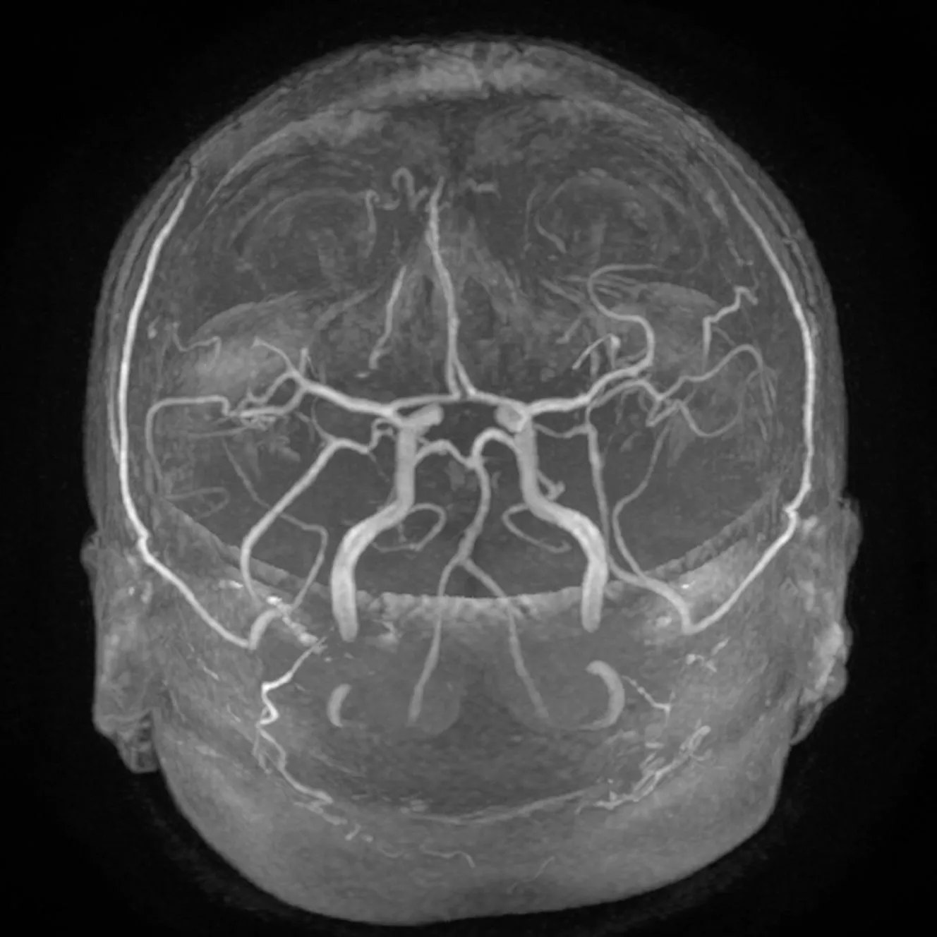
Willis Poligonu 3B Model

1 / 9
Posterior Görünüm
2 / 9
Sağ Oblik
3 / 9
Anterior Görünüm
4 / 9
Tepe
5 / 9
Ölçüm
6 / 9
MRA Ölçüm
7 / 9
MRA MIP
8 / 9
MRA Oblik MIP
9 / 9
MRA VR

GİRİŞİMSEL RADYOLOJİ

Girişimsel radyoloji; ultrason, tomografi veya anjiyografi gibi görüntüleme yöntemleri eşliğinde, ciltte küçük bir giriş yapılarak gerçekleştirilen tanı ve tedavi işlemlerini kapsayan bir tıp alanıdır. Birçok hastalıkta cerrahiye alternatif veya cerrahiyi tamamlayıcı olarak daha az ağrı, daha kısa hastanede kalış ve daha hızlı iyileşme avantajları sağlayabilir.

Başlıca İşlemler

Biyopsiler (US/BT eşliğinde)

Görüntüleme eşliğinde, hedef lezyondan güvenli şekilde örnekleme yapılır.

Akut inme & Anevrizma

Damar içinden mikrokateterlerle pıhtı/anevrizma tedavileri uygulanabilir.

Karotis stent

Şah damarındaki darlıkların damar içinden stentleme ile tedavisi.

Periferik arter (balon/stent vb.)

Periferik arter hastalığında kan akımını artırmaya yönelik endovasküler tedaviler uygulanır.

Diyabetik ayak ve ayak damar tıkanıklıkları

Ayak damarlarındaki tıkanıklıkların açılması, yara iyileşmesini destekleyebilir.

Miyom embolizasyonu (UAE)

Rahim miyomlarını besleyen damarların embolizasyon ile kapatılması hedeflenir.

Diyaliz erişim yolu (AVF / greft)

Fistül-greft darlık/tıkanıklık gibi sorunlarda anjiyografi eşliğinde balon/stent gibi tedaviler uygulanabilir.

HAKKIMDA

Selçuk Üniversitesi Tıp Fakültesi'nden 2013 yılında mezun oldum. Radyoloji eğitimimi Ankara Numune Eğitim ve Araştırma Hastanesi'nde 2019 yılında tamamladım. İstanbul Zeynep Kamil Eğitim ve Araştırma Hastanesi'nde 2019-2021 yılları arasında radyoloji uzmanı olarak görev yaptım. 2021 yılından itibaren Bolu Abant İzzet Baysal Üniversitesi Tıp Fakültesi'nde girişimsel radyoloji alanında çalışmaktayım.

Mesleki İlgi Alanı

Girişimsel Radyoloji alanında birçok farklı işlem uygulamaktayım. Klinik pratiğimde özellikle karotis stent, akut inme ve beyin anevrizması tedavileri, periferik damar hastalıkları, diyabetik ayak yarası ve diyaliz fistülü (AVF) / diyaliz erişim yolu sorunlarının anjiyografi eşliğinde tedavilerini ön planda olmak üzere geniş çaplı Girişimsel Radyoloji tedavileri uygulamaktayım.

En yoğun uğraş alanlarım

  • Biyopsiler (US/BT eşliğinde)
  • Tümör Ablasyon (US/BT eşliğinde)
  • Akut inme ve beyin anevrizmasının endovasküler tedavileri
  • Karotis darlıklarında stent tedavisi
  • Atardamar darlık ve tıkanıklıklarının anjiyografi eşliğinde tedavisi (balon/stent vb.)
  • Diyabetik ayak yarası ve damar tıkanıklığına bağlı ayak kangrenlerinde anjiyografi eşliğinde tedavi
  • Miyomların anjiyografi ile embolizasyon tedavisi (UAE)
  • Diyaliz hastalarında damar erişim yolu sorunlarının anjiyografi eşliğinde tedavisi (fistül-greft sorunları, darlık/tıkanıklık vb.)

Elements

Text

This is bold and this is strong. This is italic and this is emphasized. This is superscript text and this is subscript text. This is underlined and this is code: for (;;) { ... }. Finally, this is a link.


Heading Level 2

Heading Level 3

Heading Level 4

Heading Level 5
Heading Level 6

Blockquote

Fringilla nisl. Donec accumsan interdum nisi, quis tincidunt felis sagittis eget tempus euismod. Vestibulum ante ipsum primis in faucibus vestibulum. Blandit adipiscing eu felis iaculis volutpat ac adipiscing accumsan faucibus. Vestibulum ante ipsum primis in faucibus lorem ipsum dolor sit amet nullam adipiscing eu felis.

Preformatted

i = 0;

while (!deck.isInOrder()) {
    print 'Iteration ' + i;
    deck.shuffle();
    i++;
}

print 'It took ' + i + ' iterations to sort the deck.';

Lists

Unordered

  • Dolor pulvinar etiam.
  • Sagittis adipiscing.
  • Felis enim feugiat.

Alternate

  • Dolor pulvinar etiam.
  • Sagittis adipiscing.
  • Felis enim feugiat.

Ordered

  1. Dolor pulvinar etiam.
  2. Etiam vel felis viverra.
  3. Felis enim feugiat.
  4. Dolor pulvinar etiam.
  5. Etiam vel felis lorem.
  6. Felis enim et feugiat.

Icons

Actions

Table

Default

Name Description Price
Item One Ante turpis integer aliquet porttitor. 29.99
Item Two Vis ac commodo adipiscing arcu aliquet. 19.99
Item Three Morbi faucibus arcu accumsan lorem. 29.99
Item Four Vitae integer tempus condimentum. 19.99
Item Five Ante turpis integer aliquet porttitor. 29.99
100.00

Alternate

Name Description Price
Item One Ante turpis integer aliquet porttitor. 29.99
Item Two Vis ac commodo adipiscing arcu aliquet. 19.99
Item Three Morbi faucibus arcu accumsan lorem. 29.99
Item Four Vitae integer tempus condimentum. 19.99
Item Five Ante turpis integer aliquet porttitor. 29.99
100.00

Buttons

  • Disabled
  • Disabled

Form